Skip to main content
Lunit SCOPE PD-L1 22C3 Breast (RUO)

Lunit SCOPE PD-L1 22C3 Breast (RUO)

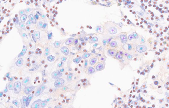
Lunit SCOPE is an Artificial Intelligence (AI)-based digital pathology image analysis software that empowers researchers to improve accuracy, scoring agreement, and workflow efficiency. Lunit SCOPE PD-L1 assists in the detection and quantification of PD-L1 expression in digitized whole slide images stained with PD-L1 22C3 pharmDx assay.

Activate AI Now

Contact us

For Research Use Only. Not for use in diagnostic procedures or decisions.

lunit-logo-v3

Lunit SCOPE PD-L1 22C3 Breast (RUO) Demonstration

Designed to seamlessly integrate with the Aperio HALO AP digital pathology platform, Lunit SCOPE PD-L1 enhances workflow efficiency while delivering standardized, AI-powered PD-L1 scoring in research settings.

After selecting an image, users can review the IHC slide directly within the viewer alongside automated PD-L1 scoring results.

Comprehensive, interpretable results include:

  • Cell Detection Overlay – Individual tumor and immune cells within the tumor region are automatically identified and visually marked according to PD-L1 expression status (positive or negative), providing transparent and traceable AI outputs.
  • Quantitative Assay Panel – Detailed scoring metrics are displayed in the right-hand panel, including the Combined Proportion Score (CPS).
  • CPS Map – A color-coded spatial overlay highlights regional variations in PD-L1 expression across the slide, with each grid representing 1 mm² for precise spatial quantification.

Lunit SCOPE PD-L1 delivers standardized, reproducible scoring with clear visual validation—supporting research applications with greater confidence and efficiency.

Specifications

Scanner: Supported whole slide image formats: 3D Histech (.MRXS), Aperio (.SVS), and Hamamatsu (.NDPI)
Algorithm: Lunit SCOPE® PD-L1
Assay: PD-L1 IHC 22C3 pharmDx
Tissue Type: Breast cancer
Scoring: CPS
Regulatory status: Research Use Only (RUO)