Skip to main content
MitPro-Next-Generation-Mitosis-Profiling-

MitPro: Next-Generation Mitosis Profiling

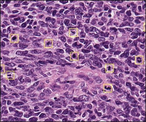
MitPro is an AI-driven solution that analyses H&E-stained tissue slides to identify mitotic figures, supporting faster mitosis counting and reducing variability across pathologists. It processes the entire slide, identifies the three highest-scoring hotspots, and allows verification of results. If desired, MitPro will also perform counting in manually defined hotspots.

MitPro is applicable to a range of samples from human cancers, including breast, lung, melanoma (including uveal melanoma), soft tissue sarcomas, leiomyoma, NETs, glioblastoma, meningioma, thyroid, and retinoblastoma.

Activate AI Now

Contact us

MitPro is For Research Use Only and not intended for clinical diagnostic use. MitPro accessed via the Aperio HALO AP image management system.

Histofy AI Logo

 

Seamless Integration

MitPro enhances mitosis counting in H&E-stained images while fitting naturally into existing digital pathology workflows. Fully integrated with the Aperio HALO AP, MitPro brings AI-driven insights directly into routine practice - supporting pathologists with faster, more consistent, and reproducible results.

Soft tissue sarcoma example using hotspot 1

Breast core biopsy example using hotspot 1

Lung cancer example using custom hotspot