Advanced Staining Image Gallery
Explore the virtual stain gallery with images showing different staining techniques, such as multiplex biomarker detection in tissue samples performed on the BOND RX fully automated stainer.
Lung - Adenocarcinoma
Lung - Squamous Cell Carcinoma
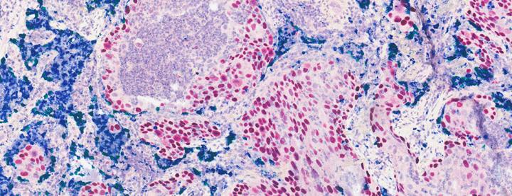
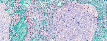
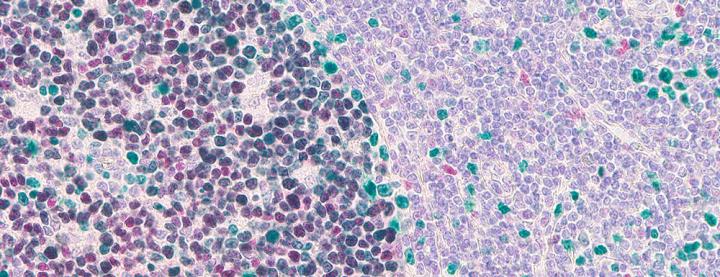
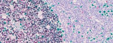
Tonsil - Normal
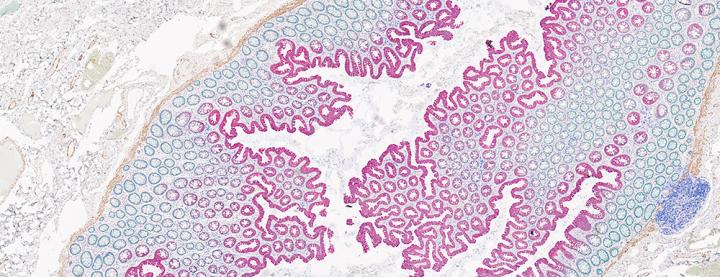
Colon - Normal
Tonsil - Normal
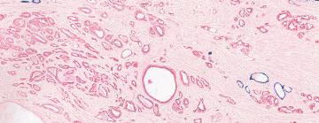
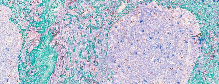
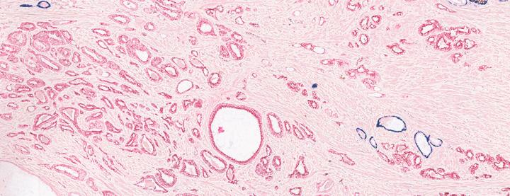
Prostate - Adenocarcinoma
Tonsil - Normal
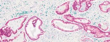
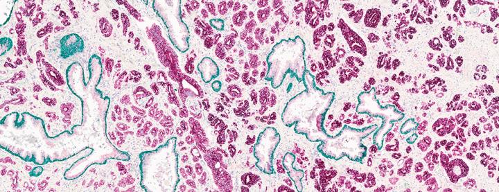
Colon - Adenocarcenoma
Colon - Carcinoma
Colon - Carcinoma
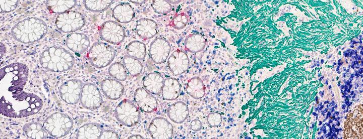
Colon - Normal
Tonsil - Normal
Lung - Adenocarcinoma
Colon - Normal
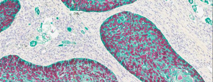
Prostate - Adenocarcinoma
Lung - Squamous Cell Carcinoma
Tonsil - Normal
FOR RESEARCH USE ONLY. Not For Use In Diagnostic Procedures.