Skip to main content
Image
abcam official black and white logo with slogan progress happens together

Trusted Antibodies Kitted for the BOND RX

Abcam, a Danaher Life Sciences company, is a leading provider of antibodies, assays, and other tools for the global life sciences community. Our partnership streamlines research workflow needs by kitting Abcam concentrated antibodies with BOND Titration Containers.

Features & Benefits

Trusted antibodies, optimized for the BOND RX

Select Abcam antibodies now come in a kitted format for the BOND RX and BOND RXm automated research stainers. Save time, reduce variability, and simplify your workflow without compromising quality.

Validated protocols for reliable results

Abcam antibodies come with recommended, optimized protocols for the BOND RX, reducing the need for in-house assay development and helping you achieve reproducible, high-quality stains faster.

Simplified procurement with streamlined support

With Leica Biosystems and Abcam working together as Operating Companies of Danaher, benefit from simplified ordering, coordinated technical support, and assurance that reagents and instruments are designed to work together.

Abcam Kits for BOND RX and RXm Research Staining Platforms

Research antibody kits available through Abcam for use with protocols and reagents on the BOND RX and BOND RXm research staining platforms:

Image
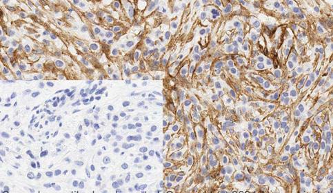
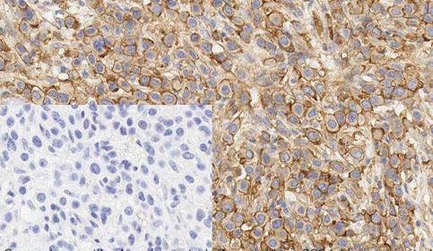
Histology slide stain using BOND RX and abcam Rabbit Monoclonal Anti-PDGFR alpha and PDGFR beta antibody

BOND RX - Anti-PDGFR alpha + PDGFR beta antibody [Y92] - C-terminal

This product contains 2 x BOND Titration Containers (with 6mL inserts) along with 100 µL vial of the Rabbit Monoclonal Anti-PDGFR alpha + PDGFR beta antibody [Y92] - C-terminal - ab32570, for use with the BOND RX instrument

Learn More

Image
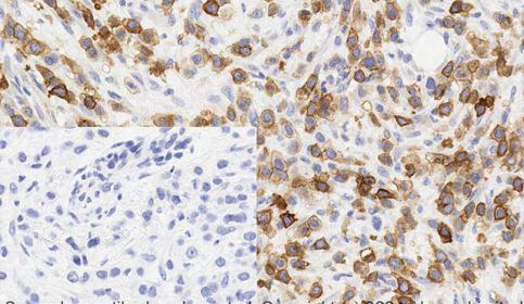
Histology slide stain using BOND RX and abcam Rabbit Monoclonal Anti-Smad3 antibody

BOND RX - Anti-Smad3 (phospho S423 + S425) antibody [EP823Y]

This product contains 2 x BOND Titration Containers (with 6mL inserts) along with 100 µL vial of the Rabbit Monoclonal Anti-Smad3 (phospho S423 + S425) antibody [EP823Y] - ab52903, for use with the BOND RX instrument

Learn More

Image
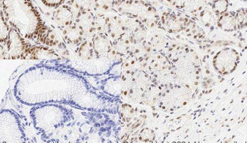
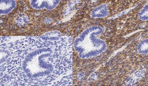
Histology slide stain using BOND RX and abcam Rabbit Monoclonal Anti-HLA A antibody

BOND RX - Anti-HLA A antibody [EP1395Y]

This product contains 2 x BOND Titration Containers (with 6mL inserts) along with 100 µL vial of the Rabbit Monoclonal Anti-HLA A antibody [EP1395Y] - ab52922, for use with the BOND RX instrument

Learn More

Image
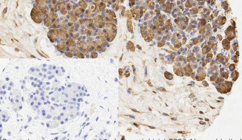
Histology slide stain using BOND RX and abcam Rabbit Monoclonal Anti-Calreticulin antibody

BOND RX - Anti-Calreticulin antibody [EPR3924] - ER Marker

This product contains 2 x BOND Titration Containers (with 6mL inserts) along with 100 µL vial of the Rabbit Monoclonal Anti-Calreticulin antibody [EPR3924] - ER Marker - ab92516, for use with the BOND RX instrument

Learn More

Image
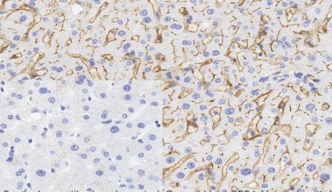
Histology slide stain using BOND RX and abcam Rabbit Monoclonal Anti-CXCR4 antibody

BOND RX - Anti-CXCR4 antibody [UMB2]

This product contains 2 x BOND Titration Containers (with 6mL inserts) along with 100 µL vial of the Rabbit Monoclonal Anti-CXCR4 antibody [UMB2] - ab124824, for use with the BOND RX instrument

Learn More

Image
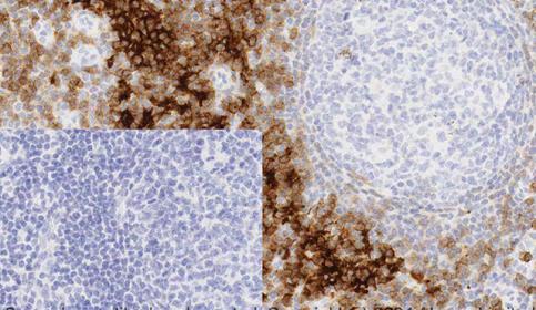
Histology slide stain using BOND RX and abcam Rabbit Monoclonal Anti-CD73 antibody

BOND RX - Anti-CD73 antibody [EPR6114]

This product contains 2 x BOND Titration Containers (with 6mL inserts) along with 100 µL vial of the Rabbit Monoclonal Anti-CD73 antibody [EPR6114] - ab133582, for use with the BOND RX instrument

Learn More

Image
Histology slide stain using BOND RX and abcam Rabbit Monoclonal Anti-PDGFR alpha antibody

BOND RX - Anti-PDGFR alpha antibody [EPR22059-270]

This product contains 2 x BOND Titration Containers (with 6mL inserts) along with 100 µL vial of the Rabbit Monoclonal Anti-PDGFR alpha antibody [EPR22059-270] - ab203491, for use with the BOND RX instrument

Learn More

Image
Histology slide stain using BOND RX and abcam Rabbit Monoclonal Anti-B7H4 antibody

BOND RX - Anti-B7H4 antibody [EPR20236]

This product contains 2 x BOND Titration Containers (with 6mL inserts) along with 100 µL vial of the Rabbit Monoclonal Anti-B7H4 antibody [EPR20236] - ab209242, for use with the BOND RX instrument

Learn More

Image
Histology slide stain using BOND RX and abcam Rabbit Monoclonal Anti-Met antibody

BOND RX - Anti-Met (c-Met) antibody [EPR19067]

This product contains 2 x BOND Titration Containers (with 6mL inserts) along with 100 µL vial of the Rabbit Monoclonal Anti-Met (c-Met) antibody [EPR19067] - ab216574, for use with the BOND RX instrument

Learn More

Image
Histology slide stain using BOND RX and abcam Rabbit Monoclonal Anti-CCR7 antibody

BOND RX - Anti-CCR7 antibody [EPR23192-57]

This product contains 2 x BOND Titration Containers (with 6mL inserts) along with 100 µL vial of the Rabbit Monoclonal Anti-CCR7 antibody [EPR23192-57] - ab253187, for use with the BOND RX instrument

Learn More

FOR RESEARCH USE ONLY. Not For Use In Diagnostic Procedures.