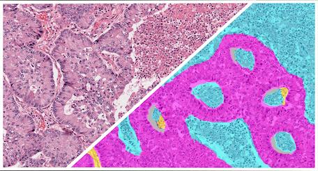
Breast IHC Tumor Tissue Detection
The Breast IHC Tumor Detection App is a pre-trained HALO AI classifier designed to detect, segment, and quantify tumor and other area across hematoxylin and DAB-stained whole-slide digital images of breast cancer.
HALO AI from Indica Labs helps to solve image analysis challenges in segmentation, classification, or phenotyping. Underpinned by modern deep learning networks, HALO AI is easily tuned for brightfield and fluorescence applications via the train-by-example interface.
HALO AI is integrated with the HALO Link and HALO platforms. The intuitive software and easy to use workflow enables users to get up and running with no computer programming or AI knowledge required. Simple workflows are leveraged to define tissue classes and cell phenotypes, or to easily train the neural network by drawing annotations.
For Research Use Only. Not for Use in Diagnostic Procedures.
Collaborate on the development of AI using the HALO Link collaborative image management platform. Simply invite your colleagues to a study and have them add training data.
High levels of variability are often encountered in image analysis but is no match for HALO AI. Common sources of variability include diverse morphologies, alterations of morphologies from staining protocols, differences in tissue quality, uneven staining, and more.
HALO AI can be easily trained to accommodate variability to deliver accurate segmentation and classification results across large studies. HALO AI can even be trained to work across vastly different stains such as PAMS, Trichrome, H&E, and IHC.
Pre-trained nuclear and membrane segmentors available in HALO are advanced tools for nuclear and membrane segmentation, but when you need to optimize a network for a bespoke application, you need HALO AI.
As with the tissue classification and segmentation networks, you can quickly add training data with the AI-based annotation tool and train the network to optimally segment nuclei or cell membranes. And once trained, any HALO AI network can be incorporated into HALO modules for maximum utility.
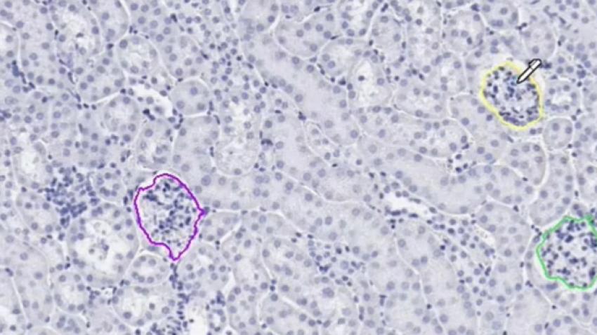
Quickly acquire training annotations with the new AI annotation tool in HALO AI. Simply point and click your object of interest to add an annotation. Create classifier pipelines by connecting multiple HALO AI classifiers into a single workflow.
Use real-time tuning in HALO AI to watch a network as it trains in real time. Toggle the mark up on and off to evaluate performance, choose to add training data, or change parameters on-the-fly.
Once a HALO AI model is trained, a probability map can be used as an alternative output to a traditional mask to evaluate performance. Use real-time tuning to select an appropriate probability cut-off for a given class and view the output in a heatmap.
Investigate results with interactive markup images where you can toggle on and off each population of interest. Interactive markups can be combined with probability thresholding and are especially valuable in exploring validation outputs.
Discover HALO AI Apps
The Breast IHC Tumor Detection App is a pre-trained HALO AI classifier designed to detect, segment, and quantify tumor and other area across hematoxylin and DAB-stained whole-slide digital images of breast cancer.
The NSCLC IHC Tumor Detection App is a pre-trained HALO AI classifier designed to detect, segment, and quantify tumor area and non-tumor area across hematoxylin and DAB-stained whole-slide digital images of NSCLC.
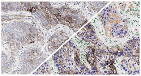
The NSCLC IHC Cancer Cell Phenotyper App is a pre-trained HALO AI object phenotyper designed to detect, segment, and quantify non-cancer cells, IHC-positive cancer cells and IHC-negative cancer cells across hematoxylin and DAB-stained whole-slide digital images of NSCLC.
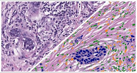
The Pan-Cancer H&E Lymphocyte Cell Phenotyper App is a pre-trained HALO AI object phenotyper designed to detect and quantify lymphocytes across whole slide H&E-stained images of multiple tumor types.
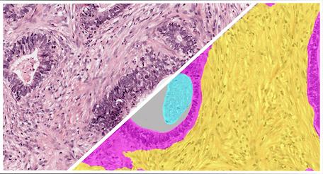
The Gastric H&E Tumor Tissue Detection App is a pre-trained HALO AI masking classifier designed to segment tumor, stroma, necrosis/other, and glass areas across H&E-stained whole slide images of gastric cancer.
The Head & Neck Squamous Cell Carcinoma (HNSCC) H&E Tumor Tissue Detection App is a pre-trained HALO AI masking classifier designed to segment tumor, stroma, necrosis/other, and glass area across H&E-stained whole slide HNSCC images.
The Non-Small Cell Lung Cancer (NSCLC) H&E Tumor Tissue Detection App is a pre-trained HALO AI masking classifier designed to segment tumor, stroma, necrosis/other, and glass area across H&E-stained whole slide images of NSCLC.
The Ovarian H&E Tumor Tissue Detection App is a pre-trained HALO AI masking classifier designed to segment tumor, stroma, necrosis/other, and glass area across H&E-stained whole slide images of ovarian cancer.