Skip to main content

HALO® | Quantitative Image Analysis for Pathology

Image Analysis Simplified

With unmatched ease-of-use, scalability, and powerful analytic capabilities, research, pharma and healthcare organizations worldwide are using HALO® from Indica Labs for high-throughput, quantitative tissue analysis. Spend less time learning the software and more time analyzing your research. The intuitive software design enables analysts at all levels to quickly learn and utilize the system. A comprehensive range of purpose-built HALO modules simplify the analysis workflow so researchers do not need to "build" algorithms from scratch.

Contact us to get a quote.

For Research Use Only. Not for Use in Diagnostic Procedures.

Product Overview

Extensive Analytics, Reliable Results​

HALO reports morphological and multiplexed expression data on a cell-by-cell basis across entire tissue sections while maintaining an interactive link between cell data and image. Sort and filter cell data to mine millions of cells while also visually assessing cell populations in the context of tissue architecture, leverage interactive markups to understand colocalization and explore combined phenotypes, and define custom analysis outputs.

Image
halo-Extensive-Analytics-Reliable-Results​

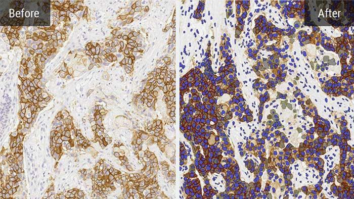
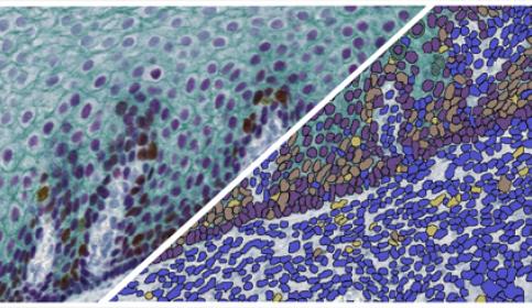
Leverage Integrated AI Tools

Use pre-trained deep-learning networks for optimized nuclear and membrane segmentation directly in the HALO platform with cell analysis modules in brightfield or fluorescence, including the Multiplex IHC and Highplex FL modules.

Want to train your own AI? Learn more about HALO AI.

Image
halo-Leverage-Integrated-AI-Tools

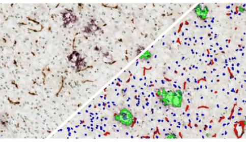
AI Powered Nuclear and Membrane Segmentation

With pre-trained AI-based networks for nuclear and membrane segmentation available in both brightfield and fluorescence, optimizing your segmentation parameters has never been easier.

Image
AI-Powered-Nuclear-and-Membrane-Segmentation

Annotation Tools​ and Markups

Annotate and explore images with a variety of freehand tools, reticle-based tools, toggle markup images, explore intensity data, measure distances, or take a quick snapshot.​

Users can easily toggle Interactive markups on and off to investigate results within each cell population of interest.

Image
HALO-Annotation-Tools​

Comprehensive Tools

The powerful real-time tuning feature of HALO provides live feedback on image analysis parameters for ease of algorithm optimization. Built-in heatmap functionality provides spatial insights such as immune cell density surrounding a tumor, while image registration allows for serial IHC-stained slide viewing and synchronized navigation.

Image
HALO-Real-Time-Tuning

Your Analysis, Your Way

Customize image analysis outputs and set up calculations to deliver the data you need. Use saved analysis settings to queue batch analysis to run silently in the background while you continue to work in HALO.

Advanced data export features ensure you have the output you need, including exporting annotations, analysis or classifier settings, reports, summary data, object data in a spreadsheet or FCS format.

Image
HALO-Your-Analysis-Your-Way

Figure Maker​

Acquire publication quality figures in just a few clicks with the figure maker feature. Quickly define the number of frames, select images of interest, then optimize scale bars, labels, fonts, opacity, and more. Save at your desired image size and resolution as a .png, .tif, or .jpg.​

Image
HALO-Figure-Maker​

Discover HALO® Modules

Image
halo-Multiplex-IHC

Multiplex IHC

Quantify expression of up to five brightfield stains in any cellular compartment - membrane, nucleus or cytoplasm.

Image
halo-Highplex-FL

Highplex FL

Quantify expression of an unlimited number of biomarkers in any cellular compartment - membrane, nucleus or cytoplasm.

Image
halo-Tissue-Classifier-Add-on

Tissue Classifier Add-on

Separate multiple tissue classes across a tissue using a learn-by-example approach. Can be used in conjunction with all other modules (fluorescent and brightfield) to select specific tissue classes for further analysis.

Image
halo-Spatial-Analysis

Spatial Analysis

Plot cells and objects from one or more images and perform nearest neighbor analysis, proximity analysis, and tumor infiltration analysis.

Image
halo-ISH

ISH

Simultaneously analyze up to three chromogenic and/or silver-labelled DNA or RNA ISH probes on a cell-by-cell basis, measuring spot numbers and area per cell and compartment, and calculated H-scores for each probe.

Image
halo-ISH-IHC

ISH-IHC

Simultaneously analyze a nuclear stain and up to four IHC biomarkers or ISH probes on a cell-by-cell basis across brightfield images.​

Image
halo-FISH

FISH

Simultaneously analyze an unlimited number of fluorescent nucleic acid probes on a cell-by-cell basis, measuring spot numbers and area per cell and compartment, and calculated H-scores for each probe.

Image
halo-FISH-IF

FISH-IF

Use the HALO® FISH-IF module and reagents from Molecular Instruments or ACD, a Bio-techne brand, to simultaneously analyze an unlimited number of fluorescently-labeled DNA/RNA ISH probes and immunofluorescent protein biomarkers on a cell-by-cell basis.

Image
halo-TMA-Tissue-Microarray-Add-On

TMA (Tissue Microarray) Add-On

The TMA Add-on provides a productivity-enhancing workflow for tissue microarray analysis by enabling automated, high-throughput segmentation and batch analysis of whole slide TMA images.

Image
halo-Serial-Section-Analysis-Add-on

Serial Section Analysis Add-on

Analyze serial tissue sections stained with different markers or a single tissue section which has been stained, stripped, and re-stained for multiple markers.

Image
halo-Area-Quantification

Area Quantification

Deconvolve up to five colors in brightfield and measure positive area and average optical density for each stain and stain colocalization (where applicable).

Image
halo-Area-Quantification-FL

Area Quantification FL

Measure the positive area, average intensity and dye colocalization (where applicable) of an unlimited number of fluorescent dyes.

Image
halo-Object-Colocalization

Object Colocalization

Simultaneously analyze up to five chromogenic stains and measure object density, area, diameter, and optical density, as well as colocalizations, if applicable.

Image
halo-Object-Colocalization-FL

Object Colocalization FL

Simultaneously analyze an unlimited number of fluorescent dyes and measure object density, area, diameter, and intensity, as well as colocalizations, if applicable.

Image
halo-Vacuole-Quantification

Vacuole Quantification

Quantify the area, diameter, perimeter, and number of white spaces per region of interest in brightfield images. Ideally suited for analysis of lipids in brown and white adipose tissue, lipid droplets in liver tissue (steatosis), and alveoli area in lung.

Image
halo-Muscle-Fiber

Muscle Fiber

Quantify area, diameter, and perimeter of muscle fibers stained with laminin or other fiber membrane stains.

Image
halo-Muscle-Fiber-FL

Muscle Fiber FL

Quantify fiber or membrane positivity for an unlimited number of fluorescent dyes along with fiber diameter, perimeter, and area.

Image
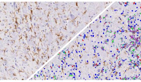
halo-Microglial-Activation

Microglial Activation

Quantify microglial activation based on length and thickness of microglial processes.

Image
halo-Microglial-Activation-FL

Microglial Activation FL

Quantify microglial activation in fluorescence based on detection of microglia, soma, and processes, by counting branch points, and by determining area, length, and thickness of processes.

Image
halo-Branch-Structure

Branch Structure

Quantify branch ends, area, length, and more for branched structures such as retinal vessels and cortical neurons in brightfield images.

Image
halo-Branch-Structure-FL

Branch Structure FL

Quantify branch ends, area, length, and more for branched structures such as retinal vessels and cortical neurons in fluorescent images.

Image
halo-Axon-Quantification

Axon Quantification

Quantify axons in nerve cross sections and calculate area, inner and outer diameter, myelin area, and G-ratio.

Image
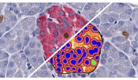
halo-Islet-Quantification

Islet Quantification

Count and measure pancreatic islets in brightfield images and quantify the islet area and cells positive for up to two islet-specific stains.

Image
halo-Islet-FL

Islet FL

Count and measure pancreatic islets in fluorescent images and quantify the islet area and cells positive for up to three islet-specific dyes.

Image
halo-Analysis-Cluster-Add-on

Analysis Cluster Add-on

Process multiple images in parallel to maximize image analysis throughput and minimize analysis job turnaround times.

Rapid Analysis and Efficient Workflows on a Scalable Platform

Increase your productivity with multi-core processing and batch analysis or with workflow tools for efficient tissue microarray and serial stain analysis.​

The modular design of HALO allows you to choose the deployment option that works best for your team and local IT. Start with a few modules and add more as your needs change. Use HALO on a single workstation, on a server-based license or deploy enterprise wide.

Image
HALO-Image-Registration

Highly Interoperable Ecosystem​

HALO has a variety of data export and import tools so that you can work with your data outside of the HALO platform and then bring it back in.​

HALO also seamlessly integrates with our deep learning toolbox HALO AI, our study-based image management system, HALO Link, and our case-based image management system, HALO AP®. ​

Image
halo-Highly-Interoperable-Ecosystem​

Proven Technology

HALO users publish across a wide range of disciplines and research areas, with oncology and immuno-oncology leading the publication count, shortly followed by neuroscience, metabolism, immunology, and infectious disease. HALO image analysis appears in over 1,000 peer-reviewed publications and every year the number of publications continues to grow!

Image
HALO-Peer-Reviewed-Publications