Skip to main content
Breast ER AI
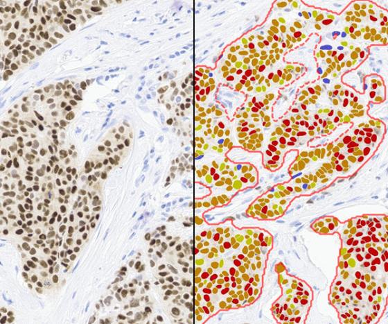
ER IHC digital slide (left) with Breast ER AI markup (right) identifying negative (blue), weak (yellow), moderate (orange), and strong (red) cells. Tumor boundary highlighted with red lines.

Breast ER AI

Developed by Indica Labs, the Breast ER AI solution leverages deep learning to standardize the scoring of estrogen receptor (ER) in resections, excisions, or biopsies from primary invasive breast cancer samples. The algorithm reports quantitative results and markup images, including tumor detection, intensity score, Allred score, and percentage of weak, moderate, and strong positive ER cells.

Activate AI Now

Contact us

Breast ER AI is For Research Use Only and not intended for clinical diagnostic use. Breast ER AI accessed via the Aperio HALO AP image management system.

indica-lab-logo

Breast ER AI in Aperio HALO AP Demonstration 

Explore the future of pathology with the Breast ER AI app from Indica Labs. Breast ER AI seamlessly integrates within the Aperio HALO AP enterprise digital pathology platform to identify and score ER tumor cells in primary invasive breast cancer samples.

After selecting a case, view the IHC slide in the viewer and the Breast ER AI results. Results include overlays and quantitative results. The first set of overlays prepare the tissue for analysis by identifying areas of analyzable tissue. The next overlay identifies areas of tumor in the tissue. The final overlay identifies and classifies cells for ER positivity within the tumor area. Finally, quantitative results at a per slide level are displayed in the assay panel to the right.

Leica Biosystems file download

Documents