Skip to main content
Breast HER2 AI
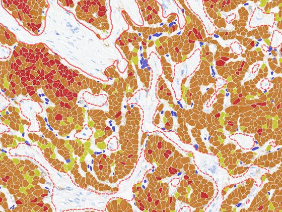
HER2 IHC digital slide (left) with Breast HER2 AI markup (right) identifying negative (blue), weak (yellow), moderate (orange), and strong (red) cells. Tumor boundary highlighted with red lines.

Breast HER2 AI

Developed by Indica Labs, the Breast HER2 AI solution leverages deep learning that standardizes scoring of HER2 in resections, excisions, or biopsies from primary invasive breast cancer samples. The algorithm reports quantitative results and markup images, including tumor detection, HER2 score, HER2 grade (including low and ultralow), and percentage positive cells.

Activate AI Now

Contact us

Breast HER2 AI is For Research Use Only and not intended for clinical diagnostic use. Breast HER2 AI accessed via the Aperio HALO AP image management system.

indica-lab-logo

Breast HER2 AI in Aperio HALO AP Demonstration 

Explore the future of pathology with the Breast HER2 AI app from Indica Labs. Breast HER2 AI seamlessly integrates within the Aperio HALO AP enterprise digital pathology platform to identify and score HER2 tumor cells in primary invasive breast cancer samples.

After selecting an image, view the IHC slide in the viewer and the Breast HER2 AI results. Results include overlays and quantitative results. The first set of overlays prepare the tissue for analysis by identifying areas of analyzable tissue. The next overlay identifies areas of tumor in the tissue. The final overlay identifies and classifies cells for HER2 positivity within the tumor area. Finally, quantitative results at a per slide level are displayed in the assay panel to the right.

Leica Biosystems file download

Documents