Skip to main content
Breast Macrodissect AI
H&E digital slide (left) with Breast Macrodissect AI markup (right) displaying the tumor cell density heatmap and ROI annotation.

Breast Macrodissect AI

Developed by Indica Labs, Breast Macrodissect AI is a deep learning tool designed to streamline macrodissection workflows for breast cancer by quantifying tumor content to guide ROI selection and enhance downstream molecular analysis research. Breast Macrodissect AI empowers labs with a high-throughput, user-friendly workflow to maximize efficiency.

Activate AI Now

Contact us

Breast Macrodissect AI is For Research Use Only and not intended for clinical diagnostic use. Breast Macrodissect AI is accessed via the Aperio HALO AP image management system.

indica-lab-logo

Specifications

File Formats: Non-proprietary (JPG, TIF, OME.TIFF, DICOM [DCM]), Leica (SVS, AFI, SCN, LIF), Hamamatsu (NDPI, NDPIS), Philips (iSyntax, i2Syntax), 3DHistech (MRXS), Nikon (ND2), Akoya (QPTIFF, component TIFF), Olympus / Evident (VSI), Zeiss (CZI), Ventana (BIF), KFBIO (KFB, KFBF)
IMS: Aperio HALO AP IMS
Algorithm: Breast Macrodissect AI
Tissue Type: FFPE histology whole tissue resections and biopsy of primary and metastatic breast cancer (adenocarcinomas)
Scoring: Tumor Cell Percentage
Regulatory status: Research Use Only (RUO)

Breast Macrodissect in Aperio HALO AP IMS Demonstration

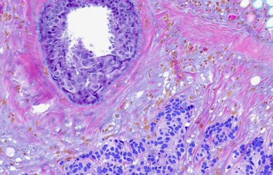
Explore the future with the Breast Macrodissect AI app from Indica Labs. Breast Macrodissect AI seamlessly integrates within the Aperio HALO AP IMS enterprise digital pathology platform to enhance the molecular research workflow through automated tumor content reporting of primary invasive breast carcinoma resections, excisions, and/or core needle biopsies.

After selecting an image, view the H&E slide in the viewer and the Breast Macrodissect AI results. Results include overlays and quantitative results. The first set of overlays prepare the tissue for analysis by identifying areas of analyzable tissue. The next overlay identifies areas of tumor in the tissue, with the tumor density heatmap highlighting the densest areas of tumor. With the assistance of the heatmap, users identify the dissection area by drawing a region of interest with immediate quantitative feedback on the number of all cells and tumor cells in the region to ensure proper sampling.