Skip to main content
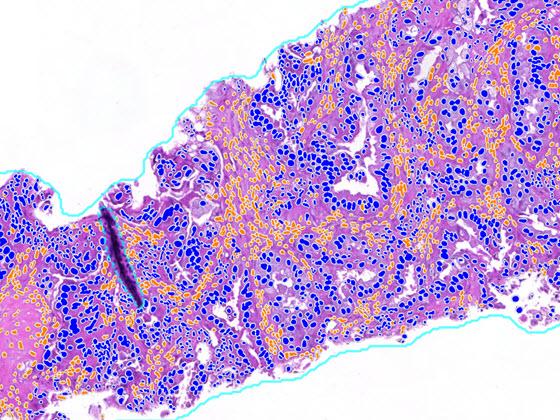
H&E digital slide (left) with Lung Macrodissection AI markup (right) displaying the tumor cell density heatmap.
H&E digital slide (left) with Lung Macrodissection AI markup (right) displaying the tumor cell density heatmap.

Lung Macrodissect AI

Developed by Indica Labs, Lung Macrodissect AI is a deep learning tool designed to streamline macrodissection workflows for non-small cell lung cancer (NSCLC) by quantifying tumor content to guide ROI selection and enhance downstream molecular analysis research in NSCLC. Lung Macrodissect AI empowers labs with a high-throughput, user-friendly workflow to maximize efficiency.

Activate AI Now

Contact us

Lung Macrodissect AI is For Research Use Only and not intended for clinical diagnostic use. Lung Macrodissect AI is accessed via the Aperio HALO AP image management system.

indica-lab-logo

Lung Macrodissect in Aperio HALO AP Demonstration

Explore the future with the Lung Macrodissect AI app from Indica Labs. Lung Macrodissect AI seamlessly integrates within the Aperio HALO AP enterprise digital pathology platform to enhance the molecular research workflow through automated tumor content reporting of NSCLC resections, excisions, and biopsies.

After selecting an image, view the H&E slide in the viewer and the Lung Macrodissect AI results. Results include overlays and quantitative results. The first set of overlays prepare the tissue for analysis by identifying areas of analyzable tissue. The next overlay identifies areas of tumor in the tissue, with the tumor density heatmap highlighting the densest areas of tumor. With the assistance of the heatmap, users identify the dissection area by drawing a region of interest with immediate quantitative feedback on the number of all cells and tumor cells in the region to ensure proper sampling.

Leica Biosystems file download

Documents