Skip to main content
halo-prostate-ai-Split-600x500
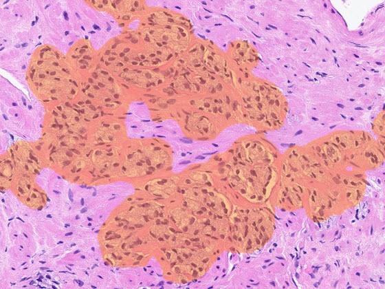
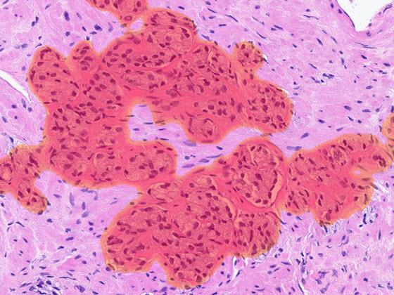
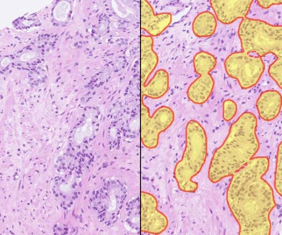
Prostate H&E digital slide (left) with Prostate AI markup (right) identifying Gleason pattern 3 (yellow). Tumor boundary highlighted with red lines.

Prostate AI

Developed by Indica Labs, the Prostate AI solution leverages deep learning technology to standardize the scoring of H&E stained prostate core needle biopsy samples. The algorithm reports quantitative results and markup images, including tumor localization, size and Gleason scores.

Activate AI Now

Contact us

Prostate AI is For Research Use Only and not intended for clinical diagnostic use. Prostate AI accessed via the Aperio HALO AP image management system.

indica-lab-logo

Prostate AI in Aperio HALO AP Demonstration

Explore the future of pathology with the Prostate AI app from Indica Labs. Prostate AI seamlessly integrates within the Aperio HALO AP enterprise digital pathology platform to identify tumor rich regions for Gleason Grading in prostate cancer samples.

After selecting a case, view the H&E slides assigned to that case in the viewer and the Prostate AI results. Results include two overlays and quantitative results. The first overlay identifies tumor rich areas of the tissue. The second overlay identifies the Gleason scoring patterns within the tumor area. Finally, quantitative results at a per slide and case level are displayed in the assay panel to the right.