Skip to main content
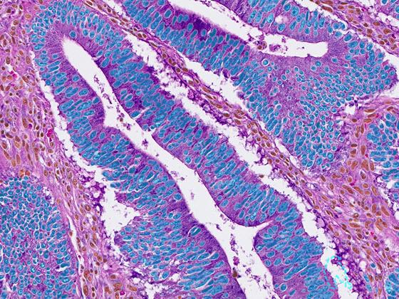
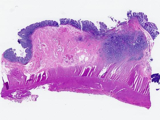
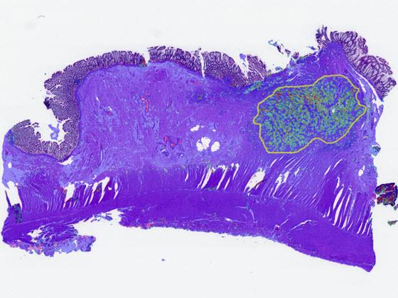
H&E digital slide (left) with CRC Macrodissection AI markup (right) displaying the tumor cell density heatmap.
H&E digital slide (left) with CRC Macrodissection AI markup (right) displaying the tumor cell density heatmap.

CRC Macrodissect AI

Developed by Indica Labs, CRC Macrodissect AI is a deep learning tool designed to streamline macrodissection workflows for colorectal carcinoma (CRC) by quantifying tumor content to guide ROI selection and enhance downstream molecular analysis research in CRC. CRC Macrodissect AI empowers labs with a high-throughput, user-friendly workflow to maximize efficiency.

Activate AI Now

Contact us

CRC Macrodissect AI is For Research Use Only and not intended for clinical diagnostic use. CRC Macrodissect AI is accessed via the Aperio HALO AP image management system.

indica-lab-logo

CRC Macrodissect AI in Aperio HALO AP Demonstration

Explore the future of pathology with the CRC Macrodissect AI app from Indica Labs. CRC Macrodissect AI seamlessly integrates within the Aperio HALO AP enterprise digital pathology platform to enhance the molecular research workflow through automated tumor content reporting of colorectal cancer resections, excisions, and biopsy samples.

After selecting, view the H&E slide in the viewer and the CRC Macrodissect AI results. Results include overlays and quantitative results. The first set of overlays prepare the tissue for analysis by identifying areas of analyzable tissue. The next overlay identifies areas of tumor in the tissue, with the tumor density heatmap highlighting the densest areas of tumor. With the assistance of the heatmap, users identify the dissection area by drawing a region of interest with immediate quantitative feedback on the number of all cells and tumor cells in the region to ensure proper sampling.

Leica Biosystems file download

Documents