Skip to main content
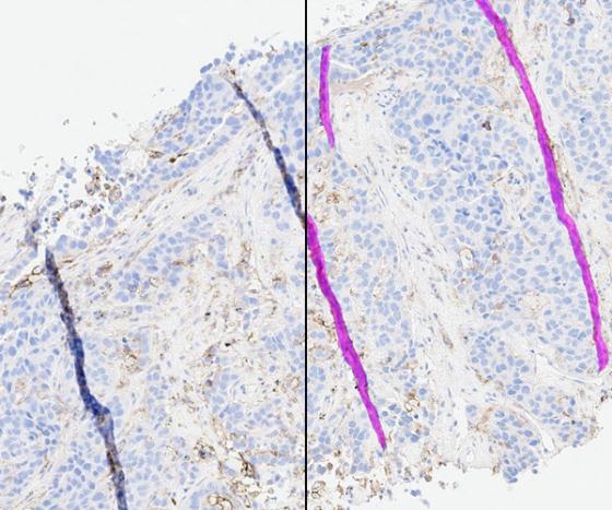
QC-Feature-Image-Split_600x500
IHC digital slide (left) with SlideQC BF markup (right) highlighting tissue folds in magenta.

SlideQC BF

Developed by Indica Labs, SlideQC BF is a deep learning tool for images that enables an automated and robust quality control workflow by detecting the most common artifacts generated during slide preparation and digital scanning. Artifacts include air bubbles, dust/debris, tissue folds, out-of-focus areas, and pen marks on H&E and immunohistochemistry (IHC) stained slides.

Activate AI Now

Contact us

SlideQC BF is not a medical device in the EU/UK.

indica-lab-logo

SlideQC BF in Aperio HALO AP Demonstration

Explore the future of pathology with the SlideQC BF app from Indica Labs. SlideQC BF seamlessly integrates within the Aperio HALO AP enterprise digital pathology platform to enable an automated and robust quality control workflow. This app detects the most common artifacts generated during the process of slide preparation and scanning including air bubbles, dust/debris, folds, out-of-focus areas, and pen marks. 

After selecting an image, view the H&E or IHC slide in the viewer and the SlideQC BF results. Results include overlays and quantitative results. The overlay highlights artifacts in magenta and acceptable tissue areas in cyan.

Use the quantitative SlideQC BF results to automatically tag images exceeding a laboratory-defined artifact threshold for recut or rescan. These images can be triaged into separate worklists for additional work.

Image
H&E slides depicting four types of digital pathology artifacts
H&E slides depicting four types of digital pathology artifacts

Artifacts in Digital Pathology

High quality slides are a prerequisite for a first-rate digital workflow. Artifacts generated in the slide creation and scanning process can not only affect interpretation but can prevent image analysis and AI tools from rendering the correct results. SlideQC BF automatically detects and annotates artifacts present on images, increasing the accuracy and quality of the analysis results while maximizing scanned tissue. Artifacts may include pen marks, out of focus areas, tissue folds, debris, or bubbles.

Image
SlideQC BF markup of four types of artifacts
SlideQC BF markup of four types of artifacts